Self-Test Examination

Article information

Korean J Otorhinolaryngol-Head Neck Surg. 2021;64(12):972-975
Publication date (electronic) : 2021 December 21

Otology

문 1. 23세 남자가 virtual reality (VR) 게임 후 발생한 어지러움을 주소로 응급실에 내원하였다. 다음 사이버멀미 (cybersickness) 감소시킬 수 있는 방법으로 옳지 않은 것은?

① 시야각 제한

② 멀미약 처방

③ Galvanic vestibular stimulation

④ 유양돌기 진동자극

⑤ 부동 자세

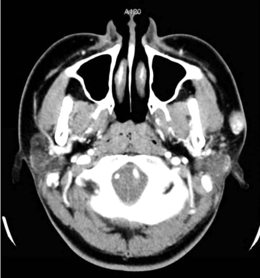
문 2. 58세 남자가 자전거를 타다 넘어져 두부 외상을 입은 뒤 응급실로 내원하였다. 환자는 dizziness를 호소하고 있었으며, 영상검사에서 다음과 같은 소견이 관찰되었다. 이에 대해 맞지 않는 설명은?

① 특발성에 비해 외상에 의한 양성돌발두위현훈의 경우 양측성으로 발생할 가능성이 높다.

② 일측의 여러 반고리관에 동시에 발생하기도 한다.

③ 특발성에 비해 치료가 더 힘들고, 재발이 더 많다.

④ 내이에 손상을 초래하는 외상은 이차성 양성돌발두위현훈의 두 번째로 흔한 원인이다.

⑤ 두부 외상에 의해 발생한 양성돌발두위현훈의 경우, 측두골 골절이 있는 경우가 canalith repositioning procedures에 내성 있는 경우가 더 많다.

Rhinology

문 1. 비강 내 호흡기도점막의 분비물인 점액(mucus)과 점액섬모수송에 관한 내용 중 맞는 것은?

① 점액의 특징은 여러 가지가 있으나 그 중에서도 점도(viscosity)와 탄성(elasticity)이 중요하고 이러한 특징은 점액의 95%-98%를 구성하고 있는 수분에 의해서 규정된다.

② 비강 내 식염수 세척은 농이나 가피 등을 물리적으로 제거하지만 주로 점액의 점도에 직접적인 영향을 주어서 점액섬모수송 능을 높인다.

③ Kartagener 증후군은 섬모의 배열 방향에 이상으로 발생하여 재발성 부비동염과 기관지 염이 초래된다.

④ 비강점액섬모수송 이상이 의심되는 환자에게서 가장 손쉽게 사용할 수 있는 검사는 사카린 검사(saccharine test)로, 매우 유용한 선별검사이고 99 mTc 방사성동위원소를 이용한 검사와 상관관계를 보인다.

⑤ 점액의 탄성은 점액의 어떠한 변형을 주었을 때 그것을 되돌리려는 힘으로 탄성이 10 dynes/cm 2 까지 범위라면 점액 수송이 증가하지만, 그 이상의 수준이 되면 점액수송능력이 오히려 감소한다.

문 2. 비사골복합체 골절(naso-ethmoid complex fracture)에 대한 설명으로 옳지 않은 것은?

① 내측 안와열(또는 내안각)의 정상적인 예각이 소실되었을 때 의심할 수 있다.

② 정상적인 안각 간 거리(intercanthal distance)는 30-35 mm이다.

③ 안각 간 거리는 양안의 눈동자 간 거리(interpupillary distance)의 50%가 된다.

④ 안각 간 거리가 비저부의 거리보다 좁아지면 진단적 가치가 있다.

⑤ 다른 흔한 증상으로는 안손상, 비출혈, 비폐색, 그리고 뇌척수액비루가 있다.

Head and Neck

문 1. 55세 여자 환자가 외부에서 시행한 갑상선 초음파에서 발견된 갑상선 결절로 내원하였다. 세침흡인검사 결과 follicular neoplasm으로 보고되어 일측성 갑상선절제술을 시행하였다. 최종 조직검사 결과가 아래와 같을 때 필요한 처치는?

Follicular thyroid carcinoma, minimally invasive

Tumor size: 1.3 cm

Surgical margin: negative

① 갑상선전절제술

② 갑상선전절제술 및 림프절절제술

③ Radioactive iodine

④ External beam radiation

⑤ 경과 관찰

문 2. 표피 바로 아래 발생한 종괴가 있는 24세 여자 환자의 경부 컴퓨터단층촬영이다. 진단은?

① Epidermal cyst

② Pleomorphic adenoma

③ Pilomatrixoma

④ Warthin’s tumor

⑤ Squamous cell carcinoma

정답 및 해설

Otology

문 1. 답

해설 ①-④는 사이버멀미(cybersickness) 호전을 위해 사용해 볼 수 있는 방법이다. 시지각 동작의 불일치가 사이버멀미를 일으킬 수 있다고 알려져 있으므로, 부동 자세가 사이버멀미 호전에 도움이 된다고 볼 수 없다.

참고 문헌: 대한평형의학회. 임상평형의학:어지럼과 현훈. 2판. 서울: 범문에듀케이션;2017. p.423-8.

Byun HY, Park CW. Introduction of cybersickness. Korean J Otorhinolaryngol-Head Neck Surg 2019;62(10):545-553.

Weech S, Moon J, Troje NF. Influence of bone-conducted vibration on simulator sickness in virtual reality. PloS One 2018;13(3):e0194137.

문 2. 답

해설 내이에 손상을 초래하는 외상은 이차성 양성돌발두위현훈의 가장 흔한 원인이다.

참고 문헌: 대한평형의학회. 임상평형의학:어지럼과 현훈. 2판. 서울: 범문에듀케이션;2017. p.265-6.

Rhinology

문 1. 답

해설 ① 점액의 특징은 주로 점소(mucin)에 의해서 결정된다.

② 비강 내 식염수 세척은 주로 농이나 가피 제거를 통해서 점액섬모수송능을 높인다.

③ Kartagener 증후근은 외측 미세소관의 동력단백팔의 결손에 의해서 발생한다.

④ 사카린 검사는 검사 결과가 일정하지 않고 99mTc 방사성동위원소를 이용한 검사와 상관관계를 보이지 않으며 사카린 청소 시간이 정상범위에 있을 때에는 섬모운동 횟수와도 상관관계를 보이지 않는다.

참고 문헌: 대한이비인후과학회. 이비인후과학:비과. 개정2판. 파주: 군자출판사;2018. p.29-43.

문 2. 답

해설 ④ 안각 간의 거리가 비저부의 거리보다 넓어지면 진단적 가치가 있다.

참고 문헌: 대한이비인후과학회. 이비인후과학:비과. 개정2판. 파주: 군자출판사;2018. p.710-9.

Head and Neck

문 1. 답

해설 크기가 크지 않고 혈관 침범없이 피막의 침범만 보이는 minimally invasive thyroid carcinoma에서는 엽절제술 후 추적 관찰로 충분하다.

참고 문헌: 대한이비인후과학회. 이비인후과학:두경부. 개정2판. 파주: 군자출판사;2018. p.829-30.

문 2. 답

해설 Pilomatrixoma는 피부에 붙어 있는 형태로 내부에 석회화가 관찰된다.

Article information Continued