갑상선 절제술 전 초음파를 통한 비반회후두신경의 예측 및 수술 중 신경모니터링을 통한 보존: 증례 보고 1예
Preoperative Ultrasound Prediction and Intraoperative Neuromonitoring for Preservation of a Non-Recurrent Laryngeal Nerve During Thyroidectomy: A Case Report
Article information
Trans Abstract
Vocal cord paralysis, one of the most notable complications of thyroidectomy, is primarily caused by injury to the recurrent laryngeal nerve (RLN), with the risk increasing in cases of anatomical variation. To prevent such complications, tools like preoperative CT, ultrasonography, and intraoperative neuromonitoring (IONM) have been widely adopted and studied. We recently encountered a patient scheduled for thyroidectomy was found with an aberrant right subclavian artery identified on CT, suggesting the possibility of a right-sided non-recurrent laryngeal nerve (NRLN). Preoperative ultrasound showed a nerve branch arising directly from the vagus nerve at the level of the cricoid cartilage, supporting the suspicion of NRLN. IONM was used during surgery. The nerve was safely identified, allowing the surgery to proceed without complications such as vocal cord paralysis. This case suggests that preoperative ultrasonographic evaluation can enable the surgeons and radiologists to identify NRLN directly by ultrasonographic imaging.
서 론
갑상선, 부갑상선 및 기타 경부수술 시행 전 경부 해부학에 대해 정확한 이해가 필수적이다. 상기 수술들에 의한 대표적인 합병증 중 하나는 성대마비로, 이는 수술 중 반회후두신경(recurrent laryngeal nerve, RLN)의 손상에 기인한다. 성대마비에 의해 쉰 목소리나 호흡곤란 등의 증상으로 이어질 수 있으므로, 반회후두신경의 해부학적 위치를 수술 전, 수술 중 정확히 파악하는 것이 필수적이다.
저자들은 최근 갑상선 수술 전 시행한 컴퓨터단층촬영(CT)상 우측 이상쇄골하동맥(aberrant right subclavian arter)을 확인하여 비반회후두신경(non-RLN)의 존재 가능성을 고려하여 추가적인 경부 초음파를 시행하였으며, 우측 미주신경에서 직접 분지되는 것으로 보이는 신경을 확인하여 비반회후두신경의 존재를 예측하였다.
이에 수술 중 비반회후두신경의 손상을 예방하고자 수술 중 신경모니터링(intraoperative neuromonitoring)을 계획하였으며, 신경 손상을 방지할 수 있었다. 기존 문헌에서 수술 전 초음파를 시행한 사례는 있었으나, 초음파를 통해 비반회후두신경을 직접 확인하고 예측한 사례는 보고된 바가 없어 본 증례를 소개하고자 한다.
증 례
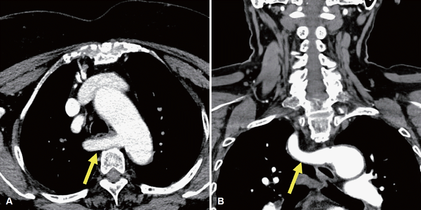
78세 여성이 한 달 전부터 발견된 전방 경부 종괴를 주소로 내원하였다. 신체검사 및 촉진 결과 갑상선 종괴가 의심되었고, 수일 후 시행한 초음파 검사에서 좌측 협부에 44 mm 크기의 갑상선 결절이 확인되어 중심바늘생검(core needle biopsy)을 시행하였으며, 갑상선 유두암(papillary thyroid cancer)이 진단되었고 초음파와 조영증강 갑상선 CT (thyroid CT)를 시행하였으며 수술 전 임상병기는 cT3bN0으로 판정되었다. 경부 초음파 검사는 고해상도 초음파 기기(EPIQ7, Philips Healthcare)와 5-12 MHz 선형탐촉자를 사용하여 갑상선 및 두경부 초음파에 숙련된 영상의학과 전문의에 의해서 수행되었다. 조영증강 갑상선 CT는 갑상선암 진단에 최적화된 대한갑상선영상의학회에서 제시한 표준검사기법으로 수행되었으며[1], 조영제 주입 후 35초 시점에 영상이 획득되었고, 2 mm 절편 두께로 횡단면, 관상면, 시상면 영상이 재구성되었다. 갑상선 전절제술 및 중앙 경부절제술을 계획하였고 thyroid CT에서 우측 이상 쇄골하동맥이 확인(Fig. 1)되어 비반회후두신경 가능성을 고려하여 비반회후두신경 평가를 위해 수술 전 경부 초음파를 추가로 시행하였다. 비반회후두신경의 초음파 평가는 설골 부위에서부터 미주신경을 초음파로 확인한 후에 미주신경을 하방으로 연속적으로 추적하여 미주신경에서 내측으로 분지되는 신경 유무를 평가하였다. 본 증례에서는 초음파 검사에서 갑상연골 높이의 미주신경으로부터 직접 분지되어 총경동맥 후방 쪽으로 주행하는 저에코의 신경 가지를 확인하였다(Fig. 2). 이후 예정된 수술을 시행하였으며, 피부 절개 후 갑상선 검체를 박리하는 과정에서, 한국 표준화된 신경모니터링 방법2)을 사용하여 수술 중 신경모니터링을 적용하였고, 모니터는 잘 작동하였다. 수술 시 type II 비반회후두신경을 확인하였으며(Fig. 3), 수술 중 신호손실(loss of signal) 등의 문제는 없었으며, 수술 직후 및 외래 추시 시 내시경 검사에서 성대마비는 관찰되지 않았으며(Fig. 4), 입원 중 특이 합병증이 관찰되지 않았다. 병리 결과는 유두암, 고전형(classical type), 단일 결절(3.9×3.0×3.0 cm), 갑상선 외 침범(macroscopic extrathyroidal extension) 및 좌측 6번 경부 구획에서 한 개 림프절에서 미세 림프절 전이가 확인되었다. 림프혈관 침윤, 신경 침윤, 외측 절제면 침범은 없었다. 환자는 내분비내과에서 정기적인 추적 검사를 진행하며, 방사선 요오드 치료(radioactive iodine)를 권고하였으나 환자의 의사에 따라 시행되지 않았다. 내분비내과에서는 권장했지만, 환자는 이를 거부하였다. 추적 검사에서는 T3, T4, 갑상선자극호르몬, 갑상선글로불린 등을 포함한 갑상선기능 검사 및 화학검사에서 정상 범위 수치를 보였다.
Preoperative enhanced thyroid CT images of an ARSA. A: Axial enhanced CT shows the ARSA (arrow) arising from the aortic arch and coursing posterior to the esophagus. B: Coronal enhanced CT shows the retroesophageal ARSA (arrow). ARSA, aberrant right subclavian artery.
Serial ultrasonographic tracking images of the NRLN obtained using a 5–12 MHz linear-array transducer. A-F: A series of transverse ultrasound images arranged in craniocaudal order shows the suspected right NRLN (yellow arrowheads). A and B: The right vagus nerve (white arrowheads) is visualized between the IJV and CCA at the level of thyroid cartilage. C and D: A nerve branch is seen arising directly from the right vagus nerve. E and F: The nerve branch courses horizontally and medially toward the CCA. G and H: The descending vagus nerve (white arrowheads), separated from the NRLN, is seen at the level of the cricoid cartilage and thyroid gland. This direct, non-recurrent path from the right vagus nerve at the level of the larynx is highly suggestive of an NRLN. NRLN, non-recurrent laryngeal nerve; IJV, internal jugular vein; CCA, common carotid artery.
Intraoperative identification of the NRLN. The right NRLN is indicated by a yellow arrowhead during thyroidectomy. The green arrowhead indicates the electrode positioned on the perichondrium of thyroid cartilage. NRLN, non-recurrent laryngeal nerve.
Postoperative laryngoscopy showing vocal cord function. A: Laryngoscopy on POD 11 complete abduction during inspiration. B: Laryngoscopy on POD 11 also shows complete adduction during phonation. C: Laryngoscopy on POD 4 years reveals improved vocal cord movement. Both vocal cords are fully abducted during inspiration. D: Laryngoscopy on POD 4 years shows full adduction of both vocal cords during phonation. POD, postoperative day.
고 찰
2021년 기준 대한민국에서 가장 흔한 암은 갑상선암이며, 갑상선 또는 부갑상선 수술을 받은 사람은 36211명으로 보고되었으며 갑상선 관련 수술의 시행 건수는 결코 무시할 수 없는 수준이라 할 수 있다. 이러한 갑상선 관련 수술 시 발생할 수 있는 주요 합병증 중 하나인 성대마비의 예방은 임상적으로 그 중요성이 널리 인정되고 있다.
갑상선 수술 시 성대마비와 관련된 주요 신경 손상은 반회후두신경 또는 상후두신경(superior laryngeal nerve, SLN) 손상에 기인한다. 반회후두신경은 갑상피열근(thyroarytenoid), 후윤상연골근(posterior cricoarytenoid), 외윤상연골근(lateral cricoarytenoid), 피열간근(interarytenoid) 등 네 개의 후두근을 지배한다. 한편, 윤상갑상근(cricothyroid)은 주로 상후두신경의 외측 가지(external branch of the SLN)에 의해 지배되는 것으로 알려져 있으나, 최근 연구에 따르면 반회후두신경이 윤상갑상근을 지배하는 경우도 있으며, 그 유병률은 약 39%에 이르는 것으로 보고되고 있다[3]. 이들 근육의 신경 지배가 손상될 경우, 성대마비로 인한 애성, 흡인, 연하곤란이 발생할 수 있으며, 중증의 경우 호흡곤란으로 진행 가능하기에 수술 중 반드시 유의해야 한다[4,5].
비반회후두신경의 발생 빈도가 상당히 높다는 점을 고려할 때, 갑상선 수술 중 비반회후두신경의 손상 예방을 위해 각별히 주의해야 한다. 비반회후두신경의 유병률은 0%에서 4.76%까지 다양하며, 우측 비반회후두신경의 유병률은 0.7%로 보고된다[6].
배아 발달 과정에서 반회후두신경은 일반적으로 좌측은 대동맥궁 아래를 통과, 우측은 쇄골하동맥을 지나지만, 비반회후두신경은 미주신경에서 직접 분지하며, 혈관기형(이상쇄골하동맥, lusoria 동맥)을 동반하는 경우가 많으며[7] 한 연구에 따르면, 이상 쇄골하동맥과 비반회후두신경 간의 상관관계가 약 86.7%로 보고되었다[6]. 이는 수술 전 비반회후두신경 예측의 중요성을 시사하며, 갑상선 수술 후 신경 손상률은 수술 전 비반회후두신경이 발견되지 않은 환자에서 12.9%였으며, 정상적인 반회후두신경을 가진 환자에서는 1.8%로 나타났다[8].
비반회후두신경의 존재 예측을 위해 우측 이상 쇄골하동맥 확인을 위해 CT 또는 초음파가 도움이 된다[9]. 또한, 초음파를 통해 우측 총경동맥과 우측 쇄골하동맥으로 나누어지는 상완두경동맥의 분지(Y sign)의 존재 확인은 이상 쇄골하 동맥의 존재를 예측하는 데 도움이 된다[10]. 한 연구에서 우측 비반회후두신경 탐지에 대해 혈관기형을 통한 비반회후두신경의 예측 시 CT의 민감도와 특이도는 각각 100%였으며, 반면 초음파의 민감도와 특이도는 각각 100%와 83.5%로 보고되었다[11]. 다만, 비반회후두신경이 존재하는 환자에서 이상 쇄골하동맥이 발견되는 비율은 약 86.7%에 불과하여, 이상 쇄골하동맥이 관찰되지 않는다는 사실만으로 비반회후두신경의 존재 가능성을 배제하는 데에는 한계가 있다. 이에 따라, 초음파를 이용하여 미주신경의 윤상연골 높이에서 직접적인 분지 확인을 수행하는 과정이 비반회후두신경 예측에 보다 신뢰성 있는 정보를 제공할 수 있다. 그러나 비반회후두신경의 낮은 유병률을 고려할 때, 모든 환자에서 초음파를 통해 미주신경 분지를 일괄적으로 확인하는 것은 비용 및 시간 측면에서 효율적이지 않을 수 있다. 따라서 임신 환자나 조영제 CT 촬영이 어려운 환자의 경우, 초음파로 Y sign의 결여를 확인하는 것뿐만 아니라 미주신경의 직접적인 분지 관찰을 병행한다면 비반회후두신경 예측 정확도를 향상시켜 수술 중 신경 손상 예방에 기여할 수 있을 것으로 판단된다.
한편, 최근 연구에서는 수술 중 신경모니터링 사용 여부에 따른 수술 후 성대마비 발생률에 유의미한 차이가 없다고 보고되었으나, 비반회후두신경의 존재가 예측되는 경우에는 신경모니터링이 신경 손상 예방에 도움을 줄 수 있으므로 적극적인 적용이 필요할 것으로 판단된다[12].
저자들은 수술 전 초음파를 통해, 미주신경으로부터 비반회후두신경이 직접 분지되는 경우, 미주신경의 원래 주행 경로를 따라 진행함과 동시에 비반회후두신경 역시 동시에 한 초음파 화면에 시각화할 수 있을 것으로 예상하였다. 실제 영상에서는 비반회후두신경으로 추정되는 가지는 관찰하였으며, 그 아래로 연속되는 미주신경의 본래 주행 경로는 확인하였다. 다만, 분지를 낸 미주신경의 직경이 분지를 내지 않은 미주신경보다 유의하게 작다는 점을 고려할 때, 다른 환자에서 시행 시 비반회후두신경의 분지를 시각화는 가능할 수 있으나, 분지 이후의 미주신경은 초음파상으로 탐지하지 못할 가능성이 있다[13]. 또한 우리는 비반회후두신경에 여러 유형이 있다는 점을 고려해야 한다. 고위형 비반회후두신경(type I)은 미주신경 줄기에서 직각으로 발생하여 짧은 경로로 횡단하며 후두기관분기(laryngotracheal junction)에 도달한다. 저위형 비반회후두신경(type II)은 미주신경 줄기에서 발생하여 기관식도홈(tracheoesophageal groove)에 도달하기 전에 상외측으로 오목한 형태를 보인다[14]. Type 1 비반회후두신경의 경우 type 2인 경우와 비교하였을 때 상갑상동맥에 비해 비교적 높은 위치에서 분지하여 수술 중 상갑상동맥 결찰 시 비교적 손상 가능성이 적을 수 있으나, type 2의 경우 상갑상 동맥과 나란히 주행하거나 교차하여 진행하거나 하갑상동맥과 인접하여 주행한다. 수술 전 유형을 확인할 수 있다면 수술 중 비반회후두신경의 손상 예방에 큰 도움이 될 수 있을 것이라 생각된다. 따라서 이러한 해당 유형들에 따라 수술 전 초음파를 통한 미주신경 및 비반회후두신경의 추적 양상에 영향을 줄 수 있는지, 해당 유형들을 미리 예측 가능한지에 대해 통계적 데이터를 수집하는 연구가 필요할 것으로 보인다. 다만, 본 증례의 경험에 기초하면 비반회후두신경은 경동맥 후방부 위치까지 구분이 가능하였고, 경동맥에서 갑상선으로 주행하는 신경은 발견되지 못했기 때문에 t ype 1과 type 2를 구분하는 것은 어려울 것으로 판단되며 초음파를 통한 경부 주요 신경을 정확히 잔단할 수 있는 숙련된 의사에 의해서만 가능하기 때문에 임상적용에 제한적 요인이 있을 것으로 판단되나, 이에 대한 추가적 연구가 필요할 것이다. 또한 CT 촬영에서 우측이상쇄골하동맥이 확인된 경우 비반회후두신경의 존재 가능성이 매우 높기 때문에 본 증례에서 시행한 정밀 초음파를 우측 이상쇄골하동맥이 확인된 경우 추가로 시행하여 수술 전 비반회후두신경의 type을 예측할 수 있을 만한 케이스를 누적할 수 있도록 검사를 제안하는 바이다. Type 1 비반회후두신경의 경우 상갑상동맥의 인접한 상방에서 주행하기에 type 2 비반회후두신경과 감별해 볼 수 있는 포인트가 될 수 있을 것이다.
갑상선 수술 환자에서 수술 전 비반회후두신경 존재 예측은 환자의 삶의 질에 큰 영향을 줄 수 있어 중요하며, 본 증례에서 초음파를 통한 비반회후두신경의 직접적인 존재 예측 가능성을 제시하였다. 초음파 및 수술중 신경모니터링을 병행 적용한다면 수술 후 성대마비 합병증 발생률을 줄이는 데 기여할 수 있을 것으로 보인다.
Notes
Acknowledgments
본 연구 수행과 관련하여 귀중한 조언과 지원을 아끼지 않으신 강릉아산병원 영상의학과 나동규 교수님께 깊이 감사드립니다.
Author Contribution
Conceptualization: Chang Heum Han, Jun Seop Kim, Yong Jin Song. Supervision: Yong Jin Song. Visualization: Chang Heum Han, Sukjune Byun. Writing—original draft: Chang Heum Han. Writing—review & editing: Yong Jin Song, Jun Seop Kim.
