| Home | E-Submission | Sitemap | Editorial Office |  
top_img
Korean Journal of Otorhinolaryngology-Head and Neck Surgery > Volume 68(12); 2025 > Article
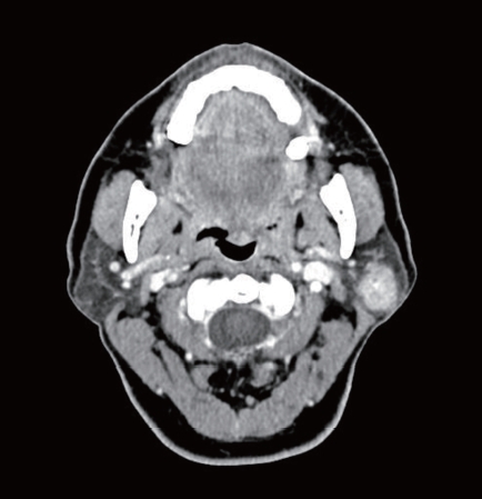
58세 여환에서 좌측 이하선 천엽에 국한된 2 cm 고형성 종괴가 관찰되었다. 이하선 천엽절제술 시행 후 조직검사상 선방세포암종(acinic cell carcinoma)으로 확인되었다. 절제연에서 종양은 관찰되지 않았으며 영상검사상 전이로 의심되는 소견은 관찰되지 않았다. 향후 치료를 위한 적절한 조치는?
kjorl-68-12-548i1.jpg
① 추가 치료 없이 추적 관찰
② 이하선 심엽 절제술
③ 방사선 치료
④ 동시항암 방사선 치료
⑤ 예방적 경부 절제술

정답 및 해설

해 설
이하선 천엽에서 발생한 초기의 저악성도 얌종에서는 이하선천엽절제술을 시행한다.
참고 문헌: 대한이비인후과학회. 이비인후과학:두경부. 개정2판. 파주: 군자출판사;2018. p.372-3.
TOOLS
PDF Links  PDF Links
PubReader  PubReader
ePub Link  ePub Link
XML Download  XML Download
Full text via DOI  Full text via DOI
Download Citation  Download Citation
  Print
Share:      
METRICS
465
View
16
Download
Related articles
Quiz  2026 March;69(3)
Quiz  2026 February;69(2)
Quiz  2026 January;69(1)
Quiz  2025 November;68(11)
Quiz  2025 October;68(10)
Editorial Office
Korean Society of Otorhinolaryngology-Head and Neck Surgery
103-307 67 Seobinggo-ro, Yongsan-gu, Seoul 04385, Korea
TEL: +82-2-3487-6602    FAX: +82-2-3487-6603   E-mail: kjorl@korl.or.kr
About |  Browse Articles |  Current Issue |  For Authors and Reviewers
Copyright © Korean Society of Otorhinolaryngology-Head and Neck Surgery.                 Developed in M2PI
Close layer
prev next