Quiz
Article information
Korean J Otorhinolaryngol-Head Neck Surg. 2025;68(12):548-548
Publication date (electronic) : 2025 December 23
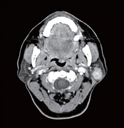
58세 여환에서 좌측 이하선 천엽에 국한된 2 cm 고형성 종괴가 관찰되었다. 이하선 천엽절제술 시행 후 조직검사상 선방세포암종(acinic cell carcinoma)으로 확인되었다. 절제연에서 종양은 관찰되지 않았으며 영상검사상 전이로 의심되는 소견은 관찰되지 않았다. 향후 치료를 위한 적절한 조치는?
![]()
① 추가 치료 없이 추적 관찰
② 이하선 심엽 절제술
③ 방사선 치료
④ 동시항암 방사선 치료
⑤ 예방적 경부 절제술
정답 및 해설
답 ①
해 설
이하선 천엽에서 발생한 초기의 저악성도 얌종에서는 이하선천엽절제술을 시행한다.
참고 문헌: 대한이비인후과학회. 이비인후과학:두경부. 개정2판. 파주: 군자출판사;2018. p.372-3.
Article information Continued
Copyright © 2025 Korean Society of Otorhinolaryngology-Head and Neck Surgery