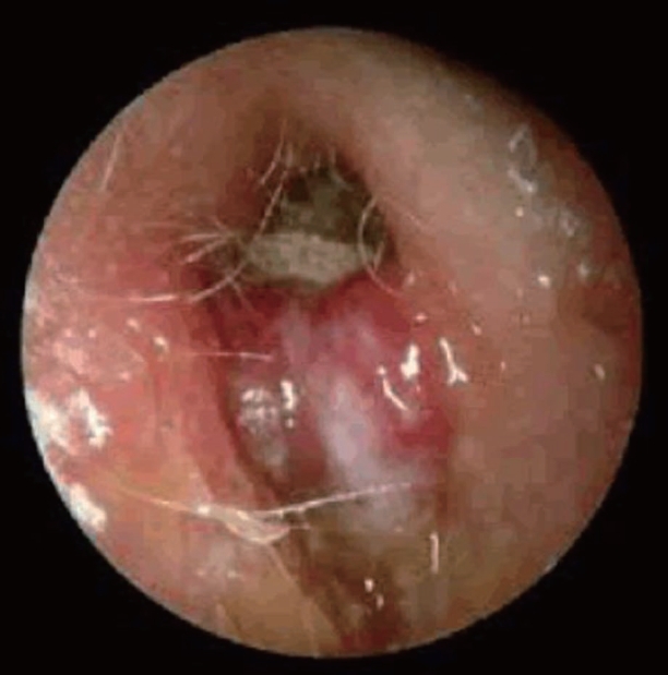
67세 남환이 2달 전부터 지속된 우측 이루를 주소로 내원하였다. 환자는 이전에는 이루를 경험한 적이 없으며, 2달간 인근 병원에서 항생제 치료를 받았으나 큰 호전이 없었다고 한다. 환자는 심한 통증으로 밤에는 잠들기 어렵다고 호소하였으며, 현재 고혈압과 당뇨로 약물 복용 중이나 혈당이 잘 조절되지 않는다고 한다. 다음은 환자의 고막 소견이다. 해당 질환에 대해 옳지 않은 것은?
① 본 질환의 질병 경과를 관찰하는 데에는 MRI가 유용하다.
② 초기 감염은 경구 fluroquinolone으로 치료할 수 있다.
③ 혈당 수치는 엄격하게 조절해야 한다.
④ Erythrocyte sedimentation rate은 치료 반응 및 재발을 추적하는 데 사용할 수 있다.
⑤ 안면마비와 같은 뇌신경마비가 동반될 수 있으며, 수술을 통해 치료할 수 있다.












