Quiz
Article information
Korean J Otorhinolaryngol-Head Neck Surg. 2026;69(1):59-59
Publication date (electronic) : 2026 January 22
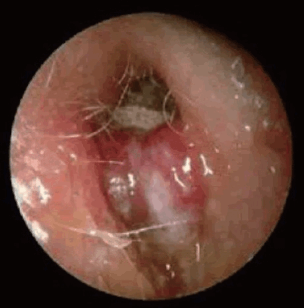
67세 남환이 2달 전부터 지속된 우측 이루를 주소로 내원하였다. 환자는 이전에는 이루를 경험한 적이 없으며, 2달간 인근 병원에서 항생제 치료를 받았으나 큰 호전이 없었다고 한다. 환자는 심한 통증으로 밤에는 잠들기 어렵다고 호소하였으며, 현재 고혈압과 당뇨로 약물 복용 중이나 혈당이 잘 조절되지 않는다고 한다. 다음은 환자의 고막 소견이다. 해당 질환에 대해 옳지 않은 것은?
![]()
① 본 질환의 질병 경과를 관찰하는 데에는 MRI가 유용하다.
② 초기 감염은 경구 fluroquinolone으로 치료할 수 있다.
③ 혈당 수치는 엄격하게 조절해야 한다.
④ Erythrocyte sedimentation rate은 치료 반응 및 재발을 추적하는 데 사용할 수 있다.
⑤ 안면마비와 같은 뇌신경마비가 동반될 수 있으며, 수술을 통해 치료할 수 있다.
정답 및 해설
답 ⑤
해 설
본 질환은 급성 외이도염이 진행되어 발생한 괴사성 외이도염이다. 대부분의 환자가 고령, 당뇨병을 가지고 있으며 중등도 이상의 이통 및 외이도 뼈-연골 접합부에서 육아종이 관찰되는 것이 특징적이다. 이에 동반되는 뇌신경마비는 신경부종에 의한 압박에 의해 생기는 것이 아니라 신경 자체의 염증으로 생기는 것으로 신경 감압술(nerve decompression)은 도움이 되지 않을 수 있다.
참고 문헌: 대한이과학회. 이과학. 서울: 세종의학;2022. p.410-1.
Article information Continued
Copyright © 2026 Korean Society of Otorhinolaryngology-Head and Neck Surgery