![]() |
![]() |
AbstractBackground and Objectives Cellular pleomorphic adenoma (PA) is a histological subtype of PA characterized by a predominance of epithelial and/or myoepithelial cells with minimal stromal components. This cellularity complicates preoperative differentiation from malignant salivary gland tumors. The present study aimed to evaluate the clinicopathological features of cellular PA and propose optimal diagnostic and therapeutic strategies.
Subjects and Method We conducted a retrospective review of 31 cases of cellular PA diagnosed between 2000 and 2024 at a single tertiary institution. Inclusion criteria required surgical pathology reports confirming cellular PA. Clinical characteristics, diagnostic methods, surgical approaches, and outcomes were analyzed. Detailed histopathological review was performed in 18 cases.
Results Among 31 patients (22 females, 9 males; mean age, 56 years), 80.6% of tumors were located in the parotid gland. In the reviewed specimens, 94.4% (17 of 18) demonstrated >70% tumor cell density. All tumors were well-circumscribed without invasion, cytologic atypia, or frequent mitosis. Fine needle aspiration yielded low diagnostic accuracy (40%), and core needle biopsy was similarly limited. Imaging studies suggested benign features in only 55% of cases. Surgical excision was performed in all cases, with negative margins in 74.2%. Recurrence was observed in 3 cases (9.7%) during the long-term follow-up (69.5-223.1 months).
Conclusion Cellular PA presents a diagnostic challenge due to its high cellularity and lack of stromal components, often mimicking malignancy in preoperative evaluations. Given its diagnostic ambiguity, complete surgical resection with an adequate margin is recommended to ensure definitive diagnosis and minimize recurrence.
IntroductionSalivary gland tumors account for 3%-10% of head and neck neoplasm, and pleomorphic adenoma (PA) is the most common pathology [1,2]. Pathologically, PA is defined as a benign triphasic tumor with epithelial and myoepithelial cells mixed with stroma components, including mucoid, myxoid, or chondroid tissue [3-6]. Tumors have a variable degree of capsulation and are characterized microscopically by tissue architecture rather than by cellular pleomorphism [7]. The epithelial and myoepithelial components form ducts, strands, or sheet-like structures, and the relative proportions of these three components differ by tumors.
Cellular PA can be defined as a subset of PA in which ductal and/or myoepithelial cells predominate over stromal elements, with increased cellularity but no invasion [8,9]. The tumor cells are biphasic (epithelial and myoepithelial) and are characterized by positive expression of cytokeratin (CK) 7, CK18, or CAM5.2 on immunohistochemistry [8,9]. Due to the lack of stromal components in cellular PA, diagnosis may be challenging in preoperative cytology or biopsy. Moreover, some PAs can transition from classical triphasic pathological features to cellular predominating PAs. This transition pattern may raise concerns about the malignant transformation of PA (carcinoma ex PA) [8]. However, no cytological or morphological features support malignancy in cellular PA or transitional cellular PA [8]. These characteristics of cellular PA hinder the preoperative diagnosis of these tumors.
The decision regarding optimal treatment or surgery for cellular PA is also clinically challenging. During surgery, frozen section analysis allows a fast intraoperative diagnosis of pathology, and the sensitivity and specificity for malignancy on frozen section analysis in salivary gland tumors are reported to be 77%-93% and 95%-100%, respectively [10-12]. Therefore, frozen section analysis can be helpful in intraoperative diagnosis if the preoperative diagnosis is uncertain. However, cellular PA and low-grade malignant tumors sometimes cannot be discriminated clearly because of high cellular density, lack of typical malignant cellular features, and limited samples in frozen section analysis.
With this background, we reviewed the cases of cellular PA from our salivary gland tumor database and explored its clinical characteristics. For clinical implications, we suggest optimal diagnostic and therapeutic approaches for cellular PA, which is usually confirmed pathologically after surgery.
Subjects and MethodsStudy protocolThis retrospective, non-interventional observational study was conducted at a single institution. The study protocol was approved by the Institutional Review Board of Samsung Medical Center (approval No. 2025-01-012). Due to the study’s retrospective nature, the Institutional Review Board waived patient participation consent. All patient data were de-identified for analysis.
Study cohort, inclusion, and exclusion criteriaWe retrieved cases diagnosed as cellular PA based on the surgical pathology in the salivary gland from the institutional salivary gland tumor database (2000-2024). We included both major and minor salivary gland tumors in this study. The inclusion criteria were cases that had surgical pathology reports indicating cellular PA. Patients who had not undergone surgery and had insufficient clinical information were excluded from the study. With our inclusion and exclusion criteria, we identified 31 patients with cellular PA who underwent surgical treatment. The clinical outcomes were investigated in these 31 patients with cellular PA.
Detailed pathology review of cellular PA tumorsAmong 31 patients with pathology reports of cellular PA, 18 underwent a detailed pathology review in surgical specimens. The remaining 13 were not available due to the poor quality of the pathology slides or the lack of specimen storage at our institution. Two specialized pathologists (Na JM and Cho J) with more than 5 years of experience in salivary gland pathology reviewed the surgical pathology specimens. Any ambiguity in diagnosis was resolved by internal or external consultation. Histological classification was performed according to the 2022 (5th edition) World Health Organization classification of salivary tumors [9]. To confirm cellular PA, all surgical biopsy specimens were examined to verify that most of the area was hypercellular. A specialized pathologist determined hypercellularity in specimens where abluminal (myoepithelial) and/or luminal (epithelial) cell differentiation was dominant over the stromal elements. We also confirmed that the tumors had no cytomorphological features for diagnosing malignancy and invasion [8].
Preoperative/intraoperative diagnosisFor preoperative diagnosis of salivary gland tumor, fine needle aspiration or core needle biopsy was performed on suspicious masses with or without ultra-sonography guidance by a radiologist or otolaryngologist. For imaging diagnosis, contrast- enhanced CT or MRI was utilized to evaluate the tumor characteristics and to assess the relationship between the tumor and the facial nerve. In cases where the preoperative diagnosis could not clearly distinguish between benign and malignant tumors, an intraoperative frozen biopsy was performed to rule out the possibility of malignancy and to determine the extent of surgery.
Surgery techniquesThe treatment of choice for PA is complete surgical excision with negative resection margins and with functional preservation of the facial nerve for parotid and submandibular gland tumors [13,14]. In cases of tumors suspicious of PA in the parotid gland, enucleation of tumors was not performed; instead, superficial or partial parotidectomy with a cuff of normal parotid gland tissue was the primary surgical procedure [15]. However, marginal resection, tumorectomy, or enucleation was conducted in some cases (not suspicious of PA or malignancy). Total excision of the submandibular gland was the treatment of choice for tumors arising from the submandibular gland. A complete excision was performed for other tumors in the minor salivary glands.
Follow-up and outcomesWe collected information on patient demographics and clinical history, surgical pathology reports, frozen biopsy reports, diagnostic workups (preoperative fine needle aspiration, core needle biopsy, ultrasonography, CT, MRI), type of surgery, operative findings, pathology images, postoperative complications, and recurrence status. The mean follow-up period was 23.1 months, with an interquartile range of 2.1-31.8 months (range 0.2-223.1 months).
ResultsPathology characteristics of cellular PAThe mean age at the time of surgery was 56 years, and the interquartile range was 48-62 years (range 33-76 years). There were 22 (71.0%) females and 9 (29.0%) males, resulting in a 2.4:1 female preponderance. Among 31 patients with cellular PA, 25 had parotid gland tumors (80.6%), three had submandibular gland tumors (9.7%), and three had minor salivary gland tumors (9.7%) (oral cavity). The mean length of the major axis of the tumor was 2.7 cm, and the interquartile range was 1.3-3.2 cm (range, 0.6-14.0 cm).
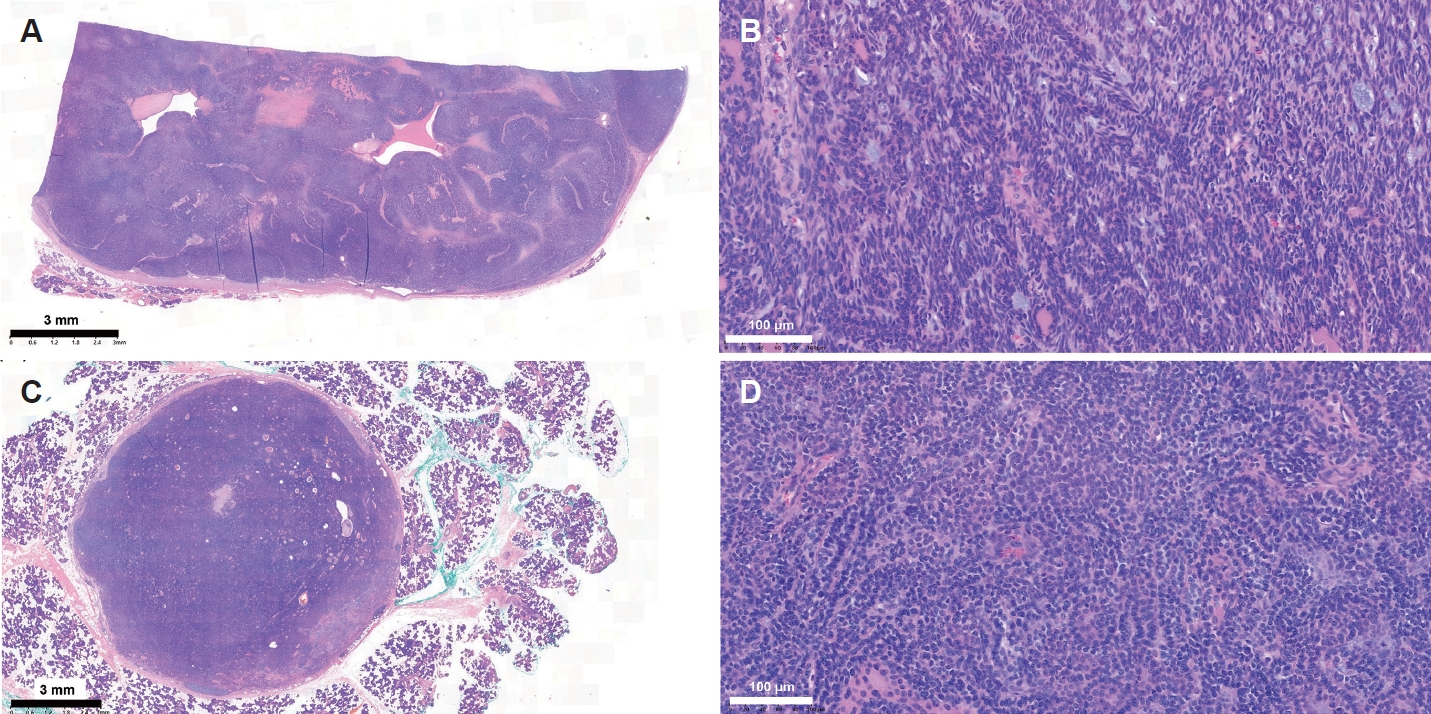
In the detailed review of whole pathology sections from 18 cases, the tumors predominantly consisted of ductal and/or myoepithelial cells, with minimal chondromyxoid stroma (Fig. 1). The cellularity of the tumors (the proportion of tumor cells per whole tumor area) was greater than 90% in nine cases (50.0%), 80%-90% in five cases (27.8%), 70%-80% in three cases, (16.7%), and 60%-70% in one case (5.6%). Most tumors were well-circumscribed, and no tumor cell infiltration into the surrounding tissue was identified. There was no significant cytologic atypia, and mitosis was rare (<1/10 high-power fields).
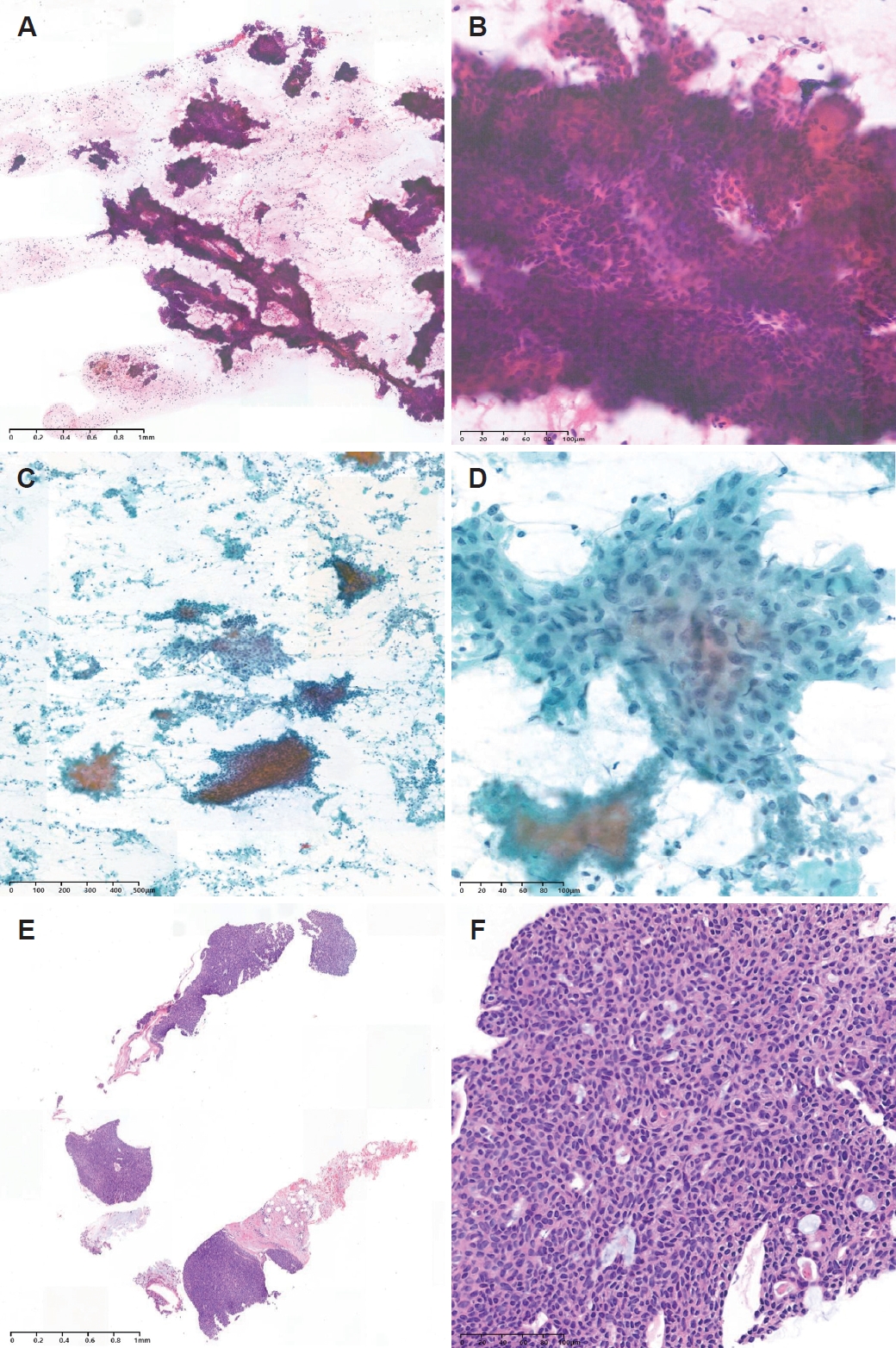
Preoperative diagnosis with cytology or biopsyFor preoperative diagnosis of cellular PA, 10 cases of fine needle aspiration were subject to pathology review, where the aspirated samples were adequate for evaluation and diagnosis (Fig. 2). Among them, six cases were reported as suggestive of malignant tumors, such as adenoid cystic carcinoma and mucoepidermoid carcinoma. The other four cases were diagnosed as benign tumors, such as basal cell adenoma and myoepithelioma, but required further consideration of other differential diagnoses in surgical pathology. Therefore, the correct diagnosis of benign tumors with fine needle aspiration was only 40% of the cellular PA cases, excluding malignant tumors.
In two cases with core needle biopsy, one was confirmed as PA, while the other prompted a differential diagnosis between PA and carcinoma ex PA or adenoid cystic carcinoma (Fig. 2). Even with the core needle biopsy, the preoperative diagnostic ability for cellular PA was not high enough to completely exclude malignant tumors in our cohorts.
Three cases of intraoperative frozen biopsy specimens were reviewed, indicating a benign salivary gland tumor, basal cell adenoma, and a malignant salivary gland tumor. The case reported as suggestive of malignancy in the frozen biopsy finally turned out to be an atypical form of cellular PA with lipo-metaplasia in the surgical pathology.
Imaging study and preoperative radiology diagnosisIn 27 cases, contrast-enhanced CT or MRI was performed for preoperative imaging diagnosis. Of these, 15 cases (55.6%) were reported as suggestive of benign salivary gland tumors, but five cases (18.5%) were suggestive of malignant salivary gland tumors. In the remaining seven cases (25.9%), the radiology findings could not differentiate between malignant and benign tumors.
Surgery and treatment outcomesRegarding the surgical resections, partial parotidectomy or extra-capsular dissection (marginal resection) of the tumor was performed in 22 cases (71.0%), total parotidectomy for parotid gland tumors in three cases (9.7%), submandibular gland resection for submandibular gland tumors in 3 cases (9.7%), and adequate excision for minor salivary gland tumor in three cases (9.7%). A negative surgical resection (free of tumor cells at the resection margin) was achieved in 23 cases (74.2%), while the presence of acellular tumor stroma was reported in one case (3.2%). In the remaining seven cases (22.6%), the surgical resection margin status was not precisely described, indicating marginal surgical resection of the tumors.
Intraoperative facial nerve monitoring was utilized in all parotid gland surgeries. Postoperative facial weakness (House-Brackmann grade IV) occurred in two cases of parotid gland tumors, even with preservation of the facial nerve during surgery. Functional facial expression recovered within 3-6 months postoperatively in these two patients. Otherwise, no specific complications related to the surgery were found.
In their clinical courses, tumor recurrence occurred in three cases (9.7%) (two parotid gland tumors and one oral cavity tumor). The time intervals between the initial surgery and recurrence were 69.5, 74.9, and 223.1 months, respectively. These recurrent cases were salvaged surgically, and no further recurrence was detected during follow-up.
DiscussionCellular PA, a cellular subtype of PA, is described as a phenotype of PA in the WHO classification but is not considered a separate entity [9]. Although definite histopathological diagnostic criteria have not been established, cellular PA is usually diagnosed in surgical specimens when increased cellularity in PAs is noted due to a dominance of ductal or myoepithelial cells over the stromal elements [8]. These pathological characteristics of cellular PA were also observed in the cases (n=18) included in this study. According to the previous subclassification, type III (predominantly cellular) and type IV (extremely cellular) PA can correspond to cellular PA [5,16]. However, the exact proportion of cellularity in the tumor area has never been estimated objectively. Based on our findings, 70% cellularity in the total tumor area (17 of 18 cases, 94.4%) seems appropriate for the definition of cellular PA. In some cases of PA, there may be a transition from classical triphasic pathological features to cellular predominating PA [8]. However, we did not find our cases with a pathological transition between classical and cellular PA. In addition, the cellularity of the PA tumor is related to the completeness of the tumor capsule, and lower cellularity can reflect a higher risk of an incomplete tumor capsule [17]. Owing to the higher cellularity of our cases, none of the cellular PA cases showed an incomplete tumor capsule.
Preoperative pathology diagnosis is difficult due to the lack of a stromal component of PA [18-21]. In addition, it is hard to completely exclude the possibility of some malignant salivary gland tumors, such as adenoid cystic carcinoma, myoepithelial carcinoma, or epithelial-myoepithelial carcinoma. In line with previous reports, aspiration cytology could predict tumors as benign in only 40% of the present cellular PA cases. Similarly, the preoperative diagnostic accuracy of core needle biopsy was not sufficient to rule out malignant tumors from cellular PA. Moreover, the preoperative diagnosis of cellular PA could not be further supported by radiological clues. In our case series, the preoperative imaging diagnosis of cellular PA also showed relatively low diagnostic accuracy, and only 55% of cases with contrast-enhanced CT or MRI were diagnosed as benign salivary gland tumors.
Therefore, the low reliability of these preoperative diagnostic methods for predicting cellular PA frequently hinders a decision on the optimal treatment or extent of surgery for cellular PA. The extent of surgery should be appropriately determined to allow histological confirmation, considering the characteristics of cellular PA and the possibility of malignant tumors. In this clinical situation, complete resection of the tumor (with surrounding grossly normal salivary gland tissue) could be the surgery of choice over a marginal (limited) resection technique such as enucleation, extra-capsular dissection, or tumorectomy. Clinically, complete resection with adequate adjacent surgical margins can be valid for either PA or malignant salivary gland tumors, where tumor infiltration (or satellite tumors) may be present. In contrast, a marginal resection is undesirable given the risk of leaving tumor cells behind or a positive surgical margin (presence of tumor cells at the surgical margin). In our cohort, our patients underwent surgery following complete or marginal resection, achieving a negative margin (free of tumor cells at the resection margins) in 74% of cases. As a result, we observed three cases of recurrence in their clinical courses.
Intraoperative frozen biopsy can help to determine the extent of surgery. Although it cannot confirm the pathological subtype of salivary gland tumors, it allows differentiation between benign and malignant tumors and evaluation of surgical margin status and lymph node involvement. Furthermore, if lymph node enlargement around the tumor is detected preoperatively or intraoperatively, a lymph node biopsy should be conducted to exclude metastasis from malignant salivary gland tumors.
This study was limited by its retrospective nature in obtaining patient data and the inability to evaluate variables prospectively. In addition, the small number of patients enrolled in the study limited the ability to obtain reliable statistical results. Also, this study was conducted at a single institution, making it difficult to generalize the findings to other institutions or diverse populations. The mean follow-up period was 23.1 months, which may not be sufficient to evaluate long-term recurrence or prognosis. Three cases showed recurrence over 5 years after the initial surgery (up to 18.6 years), indicating the need for long-term follow-up. Therefore, a future study enrolling a large cohort is needed to overcome these limitations. Despite these limitations, our study is clinically relevant in that we presented the pathological characteristics and the clinical aspects of cellular PA. Furthermore, given the difficulties in differentiating cellular PA from malignant tumors preoperatively, this study provides clinical insights into the appropriate extent of surgical resection.
In conclusion, cellular PA is a challenging subtype of PA that is difficult to diagnose preoperatively due to its high cellularity and lack of stromal components. Our findings show that 70% tumor cellularity is appropriate for defining cellular PA. Preoperative diagnostic tools had limited accuracy in differentiating cellular PA from malignant or other benign salivary gland tumors. Given the diagnostic challenges of cellular PA, the extent of surgery should include complete tumor resection with an adequate adjacent surgical margin. Intraoperative frozen biopsy can help to determine the extent of surgery by differentiating between malignant and benign salivary gland tumors and evaluating surgical margins and lymph node involvement.
NotesAcknowledgments This work was supported by a grant from Samsung Medical Center (No. OTX0001031). The funders had no role in the design and conduct of the study; collection, management, analysis, and interpretation of the data; preparation, review, or approval of the manuscript; or decision to submit the manuscript for publication. Author Contribution Conceptualization: Han-Sin Jeong. Data curation: Subi Oh, Ji Min Na, Junhun Cho. Formal analysis: Subi Oh, Junhun Cho. Funding acquisition: Junhun Cho, Han-Sin Jeong. Investigation: Ji Min Na. Methodology: Han-Sin Jeong. Resources: Ji Min Na. Supervision: Junhun Cho, Han-Sin Jeong. Writing—original draft: all authors. Writing—review & editing: Junhun Cho, Han-Sin Jeong. Fig. 1.Representative images of surgical pathology of cellular pleomorphic adenoma (PA). A 4 cm-sized parotid gland tumor in a 67-yearold female was resected. A: A low-power view shows a well-circumscribed mass surrounded by a distinct capsule. The tumor exhibits approximately 90% cellularity. B: A high-power view reveals that the tumor predominantly comprises myoepithelial and epithelial cells with minimal stromal components. There is no cytologic atypia, and mitotic figures are very rare. In cytologic examination, the hyaline globules observed in some areas may lead to confusion with adenoid cystic carcinoma. Another case of cellular PA, a 1.3 cm-sized parotid gland tumor in a 47-year-old female. C: A low-power view shows a well-circumscribed, round-shaped tumor. A chondromyxoid stroma is seen in the lower right portion of the tumor, while the remaining area consists of a hypercellular component. The overall cellularity is approximately 90%. D: A high-power view of the area lacking stroma reveals predominantly myoepithelial and epithelial cells without cytologic atypia. Mitotic figures are rarely observed. Hematoxylin and eosin staining, A and C: ×40, B and D: ×100. Fig. 2.Representative images of preoperative cytology and core needle biopsy. A: A low-power view of the fine needle aspiration cytology of a cellular pleomorphic adenoma (PA) slide shows a hypercellular smear. B: The high-power view shows diffusely proliferating basaloid cells without significant atypia. The presence of hyaline globules suggests adenoid cystic carcinoma as a differential diagnosis. C: Low-power view of the fine needle aspiration cytology slide shows a hypercellular smear with a background rich in inflammatory cells, raising the possibility of tumor necrosis. D: A high-power view reveals sheets of epithelial cells with squamous differentiation, suggesting the possibility of mucoepidermoid carcinoma. E: Low-power view of the core needle biopsy shows a highly cellular tumor. No chondromyxoid stroma is identified. F: A high-power view reveals diffusely proliferating epithelioid cells with mild atypia. A diagnosis of myoepithelial cell predominant PA is favored; however, the possibility of solid-pattern adenoid cystic carcinoma cannot be completely excluded. Hematoxylin and eosin staining, A, C and E: ×40, B, D and F: ×100. REFERENCES1. Foresta E, Torroni A, Di Nardo F, de Waure C, Poscia A, Gasparini G, et al. Pleomorphic adenoma and benign parotid tumors: extracapsular dissection vs superficial parotidectomy--review of literature and meta-analysis. Oral Surg Oral Med Oral Pathol Oral Radiol 2014;117(6):663-76.
2. Mendenhall WM, Mendenhall CM, Werning JW, Malyapa RS, Mendenhall NP. Salivary gland pleomorphic adenoma. Am J Clin Oncol 2008;31(1):95-9.
3. Ellis GL, Auclair PL. Tumors of the salivary glands, atlas of tumor pathology: 3rd series, fascicle 17. Washington, DC: Armed Forces Institute of Pathology; 1996.
4. Ellis GL, Auclair PL. Tumors of the salivary glands, atlas of tumor pathology: 4th series, fascicle 9. Silver Spring: ARP Press; 2008.
6. Thackray AC, Lucas RB. Tumors of the major salivary glands, atlas of tumor pathology: 2nd series, fascicle 10. Washington, DC: Armed Forces Institute of Pathology; 1974. p.14.
7. Seifert G. Histological classification of salivary gland tumours. In: Seifert G, ed. Histological typing of salivary gland tumours. 2nd ed. Berlin, Heidelberg: Springer; 1991. p. 9-10.
8. Hernandez-Prera JC, Skálová A, Franchi A, Rinaldo A, Vander Poorten V, Zbären P, et al. Pleomorphic adenoma: the great mimicker of malignancy. Histopathology 2021;79(3):279-90.
9. World Health Organization. Salivary gland tumours. In: WHO Classification of Tumours Editorial Board, ed. Head and neck tumours. WHO classification of tumours, part A. 5th ed. Lyon: International Agency for Research on Cancer; 2024. p. 159-252.
10. Fakhry N, Santini L, Lagier A, Dessi P, Giovanni A. Fine needle aspiration cytology and frozen section in the diagnosis of malignant parotid tumours. Int J Oral Maxillofac Surg 2014;43(7):802-5.
11. Seethala RR, LiVolsi VA, Baloch ZW. Relative accuracy of fine-needle aspiration and frozen section in the diagnosis of lesions of the parotid gland. Head Neck 2005;27(3):217-23.
12. Zbären P, Guélat D, Loosli H, Stauffer E. Parotid tumors: fine-needle aspiration and/or frozen section. Otolaryngol Head Neck Surg 2008;139(6):811-5.
13. O’Brien CJ. Current management of benign parotid tumors--the role of limited superficial parotidectomy. Head Neck 2003;25(11):946-52.
14. Piekarski J, Nejc D, Szymczak W, Wronski K, Jeziorski A. Results of extracapsular dissection of pleomorphic adenoma of parotid gland. J Oral Maxillofac Surg 2004;62(10):1198-202.
15. Witt RL, Eisele DW, Morton RP, Nicolai P, Poorten VV, Zbären P. Etiology and management of recurrent parotid pleomorphic adenoma. Laryngoscope 2015;125(4):888-93.
16. Monica K, Ramani P. Analysis of various histopathological patterns in pleomorphic adenoma - an institutional case study. Oral Maxillofac Pathol J 2023;14(1):28-32.
17. Lai CC, Lin CT, Lin YH. Cellularity and its relation with capsular characteristics as an influencing factor for operative strategies of pleomorphic adenoma. Cir Cir 2022;90(4):439-46.
18. de Lima-Souza RA, Bělohlávková K, Michal M, Altemani A, Mariano FV, Skálová A. Atypical and worrisome histological features in pleomorphic adenoma: challenging and potentially significant diagnostic pitfall. Virchows Arch 2025;487(3):543-55.
19. Elsheikh TM, Bernacki EG. Fine needle aspiration cytology of cellular pleomorphic adenoma. Acta Cytol 1996;40(6):1165-75.
|
|
||||||||||||||||||||||||||||||||||||||

![]() |
![]() |