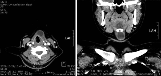
30세 여자 환자가 설골 직하방에 몇 일 전부터 종물이 촉진되어 내원하였다. 통증이나 압통은 호소하지 않았으며, 침을 삼킬 때 상방으로 움직이는 양상이었다. 경부 CT 사진은 다음과 같았다. 진단에 대한 설명 중 옳은 것은?
ⓛ 단순 적출술이 최선의 방법이다.
② 성인에서 발견된 경우 악성의 가능성이 있기 때문에 반드시 수술해야 한다.
③ 설골의 대각(greater horn)까지 박리한다.
④ 박리 중에 관(duct)을 주위 연조직으로부터 세심히 박리하여 결찰한다.
⑤ 침을 삼킬 때 종물이 움직이는 것은 질환 특징적인 소견으로 다른 질환은 완전히 배제할 수 있다.












